Inhalt

Was ist eine Gingivitis?
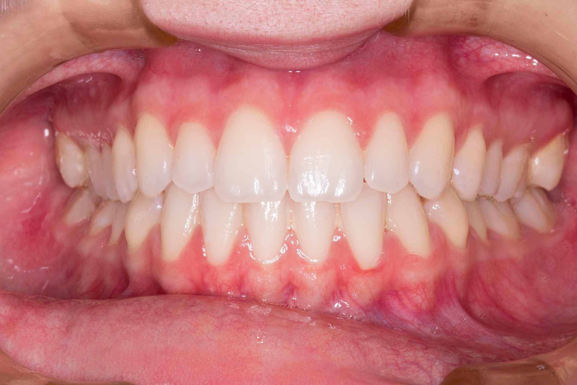
Die Gingivitis ist eine milde Form der Zahnfleischerkrankung, die durch Entzündungen im Zahnfleisch gekennzeichnet ist. Es handelt sich um eine häufige Erkrankung, die durch Plaque verursacht wird, einer klebrigen Substanz, die sich auf den Zähnen bildet und sich aus Bakterien und Speiseresten zusammensetzt. Wenn die Plaque nicht regelmäßig und gründlich entfernt wird, können sich die Bakterien vermehren und eine Entzündung des Zahnfleischs verursachen.
Ursachen und Risikofaktoren der Gingivitis
Die Hauptursache für eine Gingivitis ist eine unzureichende Mundhygiene. Wenn die Zähne nicht regelmäßig und gründlich gereinigt werden, können sich Plaque und Bakterien ansammeln und das Zahnfleisch entzünden. Es gibt jedoch auch andere Faktoren, die das Risiko einer Gingivitis erhöhen können, wie zum Beispiel:
- Rauchen: Das Rauchen kann das Immunsystem schwächen und die Durchblutung des Zahnfleischs reduzieren, was das Risiko einer Entzündung erhöht.
- Diabetes: Menschen mit Diabetes haben ein höheres Risiko für Zahnfleischerkrankungen, da der hohe Blutzuckerspiegel das Wachstum von Bakterien begünstigt.
- Hormonelle Veränderungen: Schwangere Frauen oder Frauen in den Wechseljahren können aufgrund hormoneller Veränderungen anfälliger für eine Gingivitis sein.
- Genetik: Einige Menschen können aufgrund ihrer genetischen Veranlagung anfälliger für Zahnfleischerkrankungen sein.
Es ist wichtig, regelmäßige Zahnarztbesuche zu machen und eine gute Mundhygienepraxis zu befolgen, um das Risiko einer Gingivitis zu verringern. Bei rechtzeitiger Behandlung kann eine Gingivitis vollständig geheilt werden. Wenn sie jedoch unbehandelt bleibt, kann sie zu schwerwiegenderen Zahnfleischerkrankungen wie Parodontitis führen.

Symptome einer Gingivitis
Frühe Symptome einer Gingivitis
Die Gingivitis ist eine Zahnfleischerkrankung, die anfangs oft keine Schmerzen verursacht. Daher ist es wichtig, auf erste Anzeichen zu achten, um die Erkrankung frühzeitig erkennen und behandeln zu können. Zu den frühen Symptomen einer Gingivitis gehören:
- Rotes und geschwollenes Zahnfleisch: Betroffenes Zahnfleisch kann sich röten und anschwellen. Es fühlt sich möglicherweise auch empfindlicher an als sonst.
- Zahnfleischbluten: Beim Zähneputzen oder beim Essen kann es zu Zahnfleischbluten kommen. Dieses kann leicht oder stark sein, abhängig von der Schwere der Entzündung.
- Mundgeruch: Eine Gingivitis kann unangenehmen Mundgeruch verursachen. Dieser entsteht durch die Bakterien, die sich in der entzündeten Mundhöhle vermehren.
- Empfindliche Zähne: Das Zahnfleisch kann sich zurückziehen und die Zahnoberflächen freilegen. Dadurch werden die Zähne empfindlicher gegenüber Hitze, Kälte und Berührungen.
Fortgeschrittene Symptome einer Gingivitis
Wenn eine Gingivitis nicht rechtzeitig behandelt wird, kann sie sich zu einer schwereren Form der Zahnfleischerkrankung, wie der Parodontitis, entwickeln. Fortgeschrittene Symptome einer Gingivitis können sein:
- Tieferes Zahnfleischbluten: Das Zahnfleisch kann stärker und tiefer bluten. Das Blutungsrisiko nimmt zu, insbesondere beim Zähneputzen oder beim Essen.
- Schmerzen beim Kauen: Entzündetes Zahnfleisch kann schmerzhaft sein und beim Kauen Unbehagen verursachen.
- Lockerung der Zähne: Fortgeschrittene Gingivitis kann eine Schädigung des Zahnfleischs und des darunterliegenden Knochens verursachen. Dies kann dazu führen, dass sich Zähne lockern und im schlimmsten Fall ausfallen.
- Mundgeschwüre: In einigen Fällen können sich Geschwüre im Mundraum bilden. Diese können schmerzhaft sein und das Sprechen und Essen beeinträchtigen.
Es ist wichtig zu beachten, dass nicht alle Symptome bei jeder Person auftreten müssen. Einige Menschen können nur milde Symptome haben, während andere schwerwiegendere Anzeichen einer Gingivitis zeigen. Bei Verdacht auf eine Gingivitis sollte ein Zahnarzt konsultiert werden, um eine genaue Diagnose zu erhalten und die geeignete Behandlung einzuleiten. Mit einer rechtzeitigen und angemessenen Behandlung kann eine Gingivitis vollständig geheilt werden, während unbehandelte Fälle zu schwerwiegenden Komplikationen führen können.

Diagnose und Behandlung
Diagnose von Gingivitis
Um eine Gingivitis zu diagnostizieren, führt der Zahnarzt zunächst eine gründliche Untersuchung des Mundraums durch. Dabei achtet er auf Anzeichen von entzündetem Zahnfleisch, wie Rötung, Schwellung und Blutung. Der Zahnarzt kann auch den Grad der Zahnfleischtaschen messen, um festzustellen, ob sich Bakterien und Plaque darin angesammelt haben.
Eine genaue Diagnose kann auch eine Bewertung der persönlichen Krankengeschichte und der Symptome umfassen. Der Zahnarzt wird Fragen zu möglichen Risikofaktoren stellen, wie zum Beispiel Rauchen, Diabetes oder mangelnde Mundhygiene.
In einigen Fällen kann eine mikrobiologische Untersuchung des Zahnbelags und des entzündeten Gewebes durchgeführt werden, um die Art der Bakterien zu bestimmen und die Wirksamkeit einer bestimmten Behandlung zu bewerten.
Behandlungsmöglichkeiten bei Gingivitis
Die Behandlung von Gingivitis zielt darauf ab, die Entzündung des Zahnfleisches zu reduzieren, die Bakterien zu beseitigen und die Mundgesundheit zu verbessern. Die folgenden Behandlungsmöglichkeiten können dabei eingesetzt werden:
- Professionelle Zahnreinigung: Der Zahnarzt entfernt Plaque und Zahnstein von den Zähnen und dem Zahnfleisch. Dies kann mit speziellen Instrumenten, Ultraschallgeräten oder Lasergeräten erfolgen.
- Verbesserung der Mundhygiene: Der Patient wird dazu angeleitet, seine Mundhygienegewohnheiten zu verbessern, einschließlich gründlichem Zähneputzen, regelmäßiger Verwendung von Zahnseide und Mundspülungen. Der Zahnarzt kann auch spezielle Zahnreinigungstechniken empfehlen.
- Antibakterielle Mundspülungen: Der Einsatz von antibakteriellen Mundspülungen kann dazu beitragen, die Anzahl der schädlichen Bakterien im Mund zu reduzieren.
- Lokale Antibiotika: In einigen Fällen kann der Zahnarzt Antibiotika direkt auf das entzündete Zahnfleisch auftragen, um die Bakterien abzutöten.
- Chirurgische Behandlungen: Bei fortgeschrittener Gingivitis kann eine chirurgische Behandlung erforderlich sein, um tiefere Zahnfleischtaschen zu reinigen und das Zahnfleisch wieder zu befestigen. Dies kann durch eine Zahnfleischtaschenreduktion oder eine Knochentransplantation erfolgen.
Es ist wichtig, dass Patienten mit Gingivitis regelmäßige Kontrolltermine bei ihrem Zahnarzt einhalten und eine gute Mundhygienepraxis beibehalten. Auf diese Weise kann die Entzündung unter Kontrolle gehalten werden und das Risiko eines Fortschreitens zur Parodontitis verringert werden.

Prävention und Mundhygiene
Tipps zur Vorbeugung von Gingivitis
Gingivitis ist eine häufige Erkrankung des Zahnfleisches, die durch Entzündungen verursacht wird. Glücklicherweise gibt es einige Tipps, die dabei helfen können, Gingivitis vorzubeugen. Hier sind einige wichtige Maßnahmen, die jeder ergreifen kann:
- Regelmäßige Zahnarztbesuche: Es ist wichtig, regelmäßige Vorsorgeuntersuchungen beim Zahnarzt wahrzunehmen. Der Zahnarzt kann das Zahnfleisch auf Anzeichen von Entzündungen untersuchen und rechtzeitig behandeln.
- Korrekte Mundhygiene: Eine gute Mundhygiene ist der Schlüssel zur Vorbeugung von Gingivitis. Es ist wichtig, die Zähne zweimal täglich gründlich zu putzen und Zahnseide oder Interdentalbürsten zu verwenden, um die Zahnzwischenräume zu reinigen. Zudem sollte regelmäßig eine antibakterielle Mundspülung verwendet werden, um schädliche Bakterien zu reduzieren.
- Vermeidung von Tabak und Alkohol: Rauchen und übermäßiger Alkoholkonsum können das Risiko von Zahnfleischerkrankungen, einschließlich Gingivitis, erhöhen. Es ist daher ratsam, den Konsum von Tabak und Alkohol einzuschränken oder ganz zu vermeiden.
- Gesunde Ernährung: Eine ausgewogene Ernährung, die reich an Vitaminen und Mineralstoffen ist, ist gut für die allgemeine Mundgesundheit. Eine gesunde Ernährung kann das Zahnfleisch stärken und das Risiko von Entzündungen reduzieren.
Richtige Mundhygiene für die Prävention von Gingivitis
Die richtige Mundhygiene ist ein wichtiger Faktor bei der Prävention von Gingivitis. Hier sind einige wichtige Schritte, die jeder beachten sollte:
- Gründliches Zähneputzen: Zähne sollten mindestens zweimal täglich für mindestens zwei Minuten geputzt werden. Dabei sollten alle Zahnflächen, einschließlich der Zahnzwischenräume, gründlich gereinigt werden.
- Die richtige Zahnbürste und Zahnpasta verwenden: Es ist wichtig, eine weiche Zahnbürste zu verwenden, um das Zahnfleisch nicht zu verletzen. Die Verwendung einer fluoridhaltigen Zahnpasta kann helfen, Karies zu verhindern.
- Zahnseide verwenden: Die Verwendung von Zahnseide ist entscheidend, um Plaque und Speisereste aus den Zahnzwischenräumen zu entfernen. Zahnseide sollte mindestens einmal täglich verwendet werden.
- Mundspülung verwenden: Eine Mundspülung kann helfen, Bakterien abzutöten und frischen Atem zu erhalten. Es ist wichtig, eine Mundspülung zu verwenden, die antibakterielle Eigenschaften hat.
- Regelmäßige Zahnarztbesuche: Neben einer guten Mundhygiene ist es wichtig, regelmäßige Zahnarztbesuche einzuplanen. Der Zahnarzt kann das Zahnfleisch auf Anzeichen von Problemen untersuchen und gegebenenfalls rechtzeitig behandeln.
Durch die konsequente Umsetzung dieser Tipps zur Vorbeugung von Gingivitis können Menschen ihr Risiko für diese Zahnfleischerkrankung erheblich reduzieren. Eine gute Mundhygiene ist der Schlüssel zu einer gesunden Mundhöhle und einem strahlenden Lächeln.

Zahnarztbesuch bei Verdacht auf Gingivitis
Was erwartet Sie bei einem Zahnarztbesuch wegen Gingivitis?
Wenn Sie den Verdacht haben, an Gingivitis zu leiden, ist es wichtig, einen Zahnarzt aufzusuchen. Bei einem Zahnarztbesuch wegen Gingivitis können verschiedene Untersuchungen und Behandlungen durchgeführt werden, um Ihre Mundgesundheit wiederherzustellen. Hier sind einige Dinge, die Sie bei einem solchen Besuch erwarten können:
- Anamnese: Ihr Zahnarzt wird zuerst Ihre Krankengeschichte und Symptome erfragen. Es ist wichtig, ehrlich und detailliert über Ihre Beschwerden, Schmerzen oder andere Auffälligkeiten zu berichten.
- Klinische Untersuchung: Ihr Zahnarzt wird Ihr Zahnfleisch und Ihre Zähne gründlich untersuchen. Dabei wird er möglicherweise auf geschwollenes, gerötetes oder blutendes Zahnfleisch achten. Er kann auch Sonden verwenden, um den Grad der Zahnfleischtaschen zu messen, die ein Indikator für Gingivitis sein können.
- Röntgenaufnahmen: In einigen Fällen kann Ihr Zahnarzt Röntgenaufnahmen Ihrer Zähne machen, um das Ausmaß der Entzündung und mögliche Schäden an Knochen oder Zahnwurzeln festzustellen.
- Prophylaxe: Ihr Zahnarzt wird Ihnen wahrscheinlich eine professionelle Zahnreinigung empfehlen, um Plaque und Zahnstein von Ihren Zähnen zu entfernen. Dies kann helfen, die Entzündung zu reduzieren und das Fortschreiten der Gingivitis zu stoppen.
- Behandlungsplan: Basierend auf den Ergebnissen der Untersuchung wird Ihr Zahnarzt einen individuellen Behandlungsplan für Sie erstellen. Dies kann eine Kombination aus häuslicher Mundhygiene, wie regelmäßigem Zähneputzen und Zahnseide, sowie möglicherweise auch verschreibungspflichtigen Medikamenten oder weiteren zahnärztlichen Eingriffen beinhalten.
Professionelle Zahnreinigung zur Behandlung von Gingivitis
Eine professionelle Zahnreinigung ist eine wichtige Behandlungsoption zur Bekämpfung von Gingivitis. Dabei werden hartnäckige Plaque und Zahnstein von den Zähnen entfernt, die Hauptursachen für entzündetes Zahnfleisch sind. Hier sind einige wichtige Schritte, die bei einer professionellen Zahnreinigung zur Behandlung von Gingivitis durchgeführt werden können:
- Entfernung von Plaque und Zahnstein: Ihr Zahnarzt oder Dentalhygieniker wird Plaque und Zahnstein von den Zähnen mit speziellen Werkzeugen entfernen. Dieser Prozess wird als Scaling bezeichnet und beinhaltet das Entfernen von Ablagerungen sowohl oberhalb als auch unterhalb des Zahnfleischrands.
- Politur: Nach dem Scaling werden Ihre Zähne poliert, um sie glatt und sauber zu machen. Dies hilft, die Anlagerung neuer Plaque zu erschweren und das Risiko einer erneuten Entzündung des Zahnfleisches zu reduzieren.
- Anleitung zur häuslichen Mundhygiene: Ihr Zahnarzt oder Dentalhygieniker wird Ihnen auch Tipps und Ratschläge zur Verbesserung Ihrer Mundhygiene geben. Dies kann die richtige Putztechnik, die Verwendung von Zahnseide und die Auswahl der richtigen Mundspülung beinhalten.
- Nachsorge: Je nach Schwere der Gingivitis kann es notwendig sein, regelmäßige Kontrolltermine bei Ihrem Zahnarzt zu vereinbaren, um den Heilungsprozess zu überwachen und sicherzustellen, dass keine weiteren Komplikationen auftreten.
Es ist wichtig zu beachten, dass eine professionelle Zahnreinigung allein die Gingivitis nicht vollständig heilen kann. Eine gute Mundhygiene zu Hause, einschließlich regelmäßigem Zähneputzen, Zahnseide und Mundspülungen, ist entscheidend, um die Entzündung unter Kontrolle zu halten und weiteres Fortschreiten der Erkrankung zu verhindern.

Fazit
Nachdem Sie nun über die verschiedenen Aspekte einer Gingivitis informiert sind, können Sie besser verstehen, wie wichtig es ist, einen Zahnarzt bei Verdacht auf diese Erkrankung aufzusuchen. Eine frühzeitige Diagnose und Behandlung sind entscheidend, um das Fortschreiten der Gingivitis zu stoppen und schwerwiegendere Komplikationen wie Parodontitis zu vermeiden.
Zusammenfassung der wichtigsten Punkte zur Gingivitis
- Gingivitis ist eine Entzündung des Zahnfleisches, die durch Plaque und Zahnstein verursacht wird.
- Die Symptome einer Gingivitis umfassen gerötetes, geschwollenes, empfindliches und blutendes Zahnfleisch.
- Eine frühzeitige Diagnose und Behandlung der Gingivitis ist entscheidend, um das Fortschreiten der Erkrankung zu stoppen.
- Bei einem Zahnarztbesuch wegen Gingivitis werden verschiedene Untersuchungen und Behandlungen durchgeführt, wie z.B. eine Anamnese, klinische Untersuchung, Röntgenaufnahmen, Prophylaxe und die Erstellung eines individuellen Behandlungsplans.
- Eine professionelle Zahnreinigung ist eine wichtige Behandlungsoption zur Bekämpfung von Gingivitis.
- Eine gute Mundhygiene zu Hause, einschließlich regelmäßigem Zähneputzen, Zahnseide und Mundspülungen, ist entscheidend, um die Entzündung unter Kontrolle zu halten und weiteres Fortschreiten der Erkrankung zu verhindern.
Ratgeber für eine gute Mundgesundheit
Um Ihre Mundgesundheit zu erhalten und das Risiko von Zahnfleischerkrankungen wie Gingivitis zu reduzieren, gibt es einige wichtige Maßnahmen, die Sie ergreifen können.
- Putzen Sie Ihre Zähne mindestens zweimal täglich gründlich und verwenden Sie eine fluoridhaltige Zahnpasta.
- Verwenden Sie Zahnseide oder interdentale Bürsten, um Plaque und Speisereste zwischen den Zähnen zu entfernen.
- Achten Sie auf eine gesunde Ernährung, die reich an Obst, Gemüse und Vollkornprodukten ist und begrenzen Sie den Konsum von zuckerhaltigen und säurehaltigen Lebensmitteln und Getränken.
- Vermeiden Sie das Rauchen und reduzieren Sie Ihren Alkoholkonsum.
- Besuchen Sie regelmäßig Ihren Zahnarzt für professionelle Zahnreinigungen und Kontrolluntersuchungen.
Indem Sie diese einfachen, aber effektiven Maßnahmen zur Mundhygiene und -pflege befolgen, können Sie Ihre Mundgesundheit verbessern und das Risiko von Zahnfleischentzündungen wie Gingivitis verringern.
Denken Sie daran, dass eine gute Mundgesundheit ein wichtiger Teil Ihrer allgemeinen Gesundheit ist. Wenn Sie Symptome einer Gingivitis bemerken oder Bedenken bezüglich Ihrer Mundgesundheit haben, zögern Sie nicht, einen Zahnarzt aufzusuchen. Eine frühzeitige Diagnose und Behandlung können dazu beitragen, Zahnfleischerkrankungen zu stoppen und Ihre Mundgesundheit zu verbessern.











