Inhalt

Einleitung
Die Forschung über Siderose spielt eine wichtige Rolle bei der Erforschung dieser Erkrankung und der Identifizierung von möglichen Behandlungsmethoden. Diese Studie widmet sich dem Hintergrund und den Zielen dieser Forschung, sowie der Methodik und Datenanalyse, die in diesem Bereich angewendet werden.
Hintergrund und Ziel der Forschung über Siderose
Die Siderose ist eine Erkrankung, bei der sich Eisenablagerungen in Geweben und Organen ansammeln. Dies kann zu verschiedenen gesundheitlichen Problemen führen, wie zum Beispiel Atmungsbeschwerden, Herz-Kreislauf-Erkrankungen und neurologischen Störungen. Das Hauptziel der Forschung über Siderose ist es, die Ursachen und Mechanismen dieser Erkrankung besser zu verstehen, um effektive Behandlungsmöglichkeiten zu entwickeln.
Im Rahmen der Forschung werden verschiedene Aspekte untersucht, darunter die Rolle von Eisen im Körper, die Genetik der Erkrankung und potenzielle Risikofaktoren. Darüber hinaus werden auch neue Diagnosemethoden und Behandlungsansätze erforscht. Das langfristige Ziel besteht darin, die Lebensqualität der Betroffenen zu verbessern und mögliche Komplikationen zu verhindern.
Methodik und Datenanalyse
Die Forschung über Siderose umfasst verschiedene Methoden und Ansätze, um aussagekräftige Ergebnisse zu erzielen. Eine gängige Methode ist die Untersuchung von Gewebeproben und Blutproben von Patienten mit Siderose. Durch die Analyse dieser Proben können Forscher Informationen über die Eisenablagerungen und mögliche zugrundeliegende genetische Veränderungen gewinnen.
Darüber hinaus werden auch Tiermodelle verwendet, um die Krankheit zu studieren und potenzielle Behandlungsmethoden zu testen. Diese Modelle ermöglichen es den Forschern, die Auswirkungen von Eisenablagerungen auf den Körper zu untersuchen und neue Wege zur Behandlung der Erkrankung zu finden.
Die Daten, die während der Forschung gesammelt werden, werden sorgfältig analysiert, um Muster und Zusammenhänge zu identifizieren. Statistische Analysemethoden werden verwendet, um die Ergebnisse zu validieren und Schlussfolgerungen zu ziehen. Diese Analysen helfen den Forschern, die zugrundeliegenden Mechanismen von Siderose besser zu verstehen und mögliche Behandlungsansätze zu entwickeln.
Insgesamt spielt die Forschung über Siderose eine entscheidende Rolle bei der Bekämpfung dieser Erkrankung. Durch die Untersuchung des Hintergrunds und der Ziele der Forschung und die Anwendung geeigneter Methoden und Datenanalyse können wir hoffentlich bald bessere Diagnose- und Behandlungsmöglichkeiten finden, um das Leben der Betroffenen zu verbessern.

Ursachen von Siderose
Eisenpartikel und deren Auswirkungen auf den Körper
Die Ansammlung von Eisenablagerungen in Geweben und Organen ist das Hauptmerkmal der Siderose. Doch wie gelangen diese Eisenpartikel in den Körper und welche Auswirkungen haben sie?
Eisen ist ein lebenswichtiges Spurenelement, das für verschiedene Körperfunktionen benötigt wird, einschließlich des Sauerstofftransports im Blut. Normalerweise wird überschüssiges Eisen durch spezielle Transportproteine im Körper kontrolliert und ausgeschieden. Bei der Siderose jedoch kommt es zu einer Störung dieses Gleichgewichts, was zu einer übermäßigen Eisenansammlung führt.
Die Eisenpartikel, die sich im Gewebe und den Organen ansammeln, verursachen oxidativen Stress und Schäden an den Zellen. Dies kann zu einer Entzündungsreaktion führen und verschiedene gesundheitliche Probleme verursachen, wie zum Beispiel Atembeschwerden, Herz-Kreislauf-Erkrankungen und neurologische Störungen.
Genetische und umweltbedingte Faktoren
Die genauen Ursachen der Siderose sind noch nicht vollständig verstanden. Es gibt jedoch Hinweise darauf, dass sowohl genetische als auch umweltbedingte Faktoren eine Rolle spielen.
Bei manchen Menschen scheint die Krankheit familiär gehäuft aufzutreten, was auf genetische Veränderungen hinweisen könnte. Forscher identifizieren derzeit bestimmte Gene, die mit der Siderose in Verbindung gebracht werden und untersuchen die zugrunde liegenden Mechanismen.
Darüber hinaus können bestimmte Umweltfaktoren das Risiko für die Entwicklung von Siderose erhöhen. Ein bekanntes Beispiel ist die berufliche Exposition gegenüber Eisenstaub oder -partikeln, wie sie etwa bei Schweißern oder Bergbauarbeitern auftreten kann. Diese Exposition kann zu einer erhöhten Eisenansammlung im Körper führen.
Es wird angenommen, dass eine Kombination aus genetischen Veranlagungen und Umweltfaktoren das Risiko für die Entwicklung von Siderose erhöht. Die genauen Zusammenhänge und Wechselwirkungen zwischen diesen Faktoren sind jedoch noch Gegenstand der Forschung.
Insgesamt ist die Erforschung der Ursachen von Siderose von großer Bedeutung, um die Krankheit besser zu verstehen und wirksame Behandlungsansätze zu entwickeln. Durch die Untersuchung der Auswirkungen von Eisenpartikeln auf den Körper und die Erforschung genetischer und umweltbedingter Faktoren können Fortschritte in der Prävention, Diagnose und Behandlung dieser Erkrankung erzielt werden. Es bleibt zu hoffen, dass zukünftige Forschungsarbeiten dazu beitragen werden, das Leben der Betroffenen zu verbessern und die Auswirkungen von Siderose zu minimieren.

Forschung über Siderose
Typische Anzeichen und Beschwerden
Die Symptome der Siderose können je nach Schweregrad der Krankheit variieren. Typischerweise entwickeln sich die Symptome im fortgeschrittenen Stadium der Erkrankung, wenn bereits eine erhebliche Eisenansammlung in den Geweben und Organen vorliegt. Zu den häufigsten Anzeichen und Beschwerden der Siderose gehören:
- Atembeschwerden: Eine Eisenansammlung in der Lunge kann zu Atemwegsproblemen wie Husten, Atemnot und einer eingeschränkten Lungenfunktion führen.
- Herz-Kreislauf-Erkrankungen: Eisenpartikel, die sich im Herzen und den Blutgefäßen ansammeln, können zu einer verminderten Herzleistung, Herzrhythmusstörungen und erhöhtem Risiko für Herzinfarkte führen.
- Neurologische Störungen: Eine Eisenablagerung im Gehirn kann zu neurologischen Problemen führen, wie beispielsweise Gedächtnisverlust, Konzentrationsstörungen, Schwindel, Koordinationsproblemen und Muskelzuckungen.
- Gelenkbeschwerden: Siderose kann auch Gelenkschmerzen und Entzündungen verursachen.
Diagnoseverfahren und Screening-Möglichkeiten
Die Diagnose von Siderose kann eine Herausforderung darstellen, da die Symptome unspezifisch sein können und andere Erkrankungen ausschließen müssen. Einige gängige Diagnoseverfahren und Screening-Möglichkeiten umfassen:
- Blutuntersuchungen: Eine Blutprobe kann auf erhöhte Eisenspiegel und andere Indikatoren für Siderose untersucht werden. Dies kann Aufschluss über eine mögliche Eisenüberladung geben.
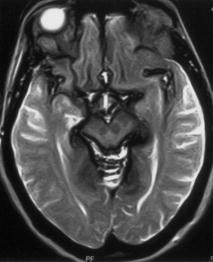
- Bildgebende Verfahren: Bildgebende Verfahren wie Magnetresonanztomographie (MRT) oder Computertomographie (CT) können verwendet werden, um die Anwesenheit von Eisenablagerungen in den Geweben und Organen sichtbar zu machen.
- Genetische Tests: Bei Verdacht auf genetische Ursachen für Siderose können genetische Tests durchgeführt werden, um nach bestimmten Genmutationen zu suchen, die mit der Krankheit in Verbindung stehen.
- Funktionsuntersuchungen: Je nach betroffenem Organ können auch spezifische Funktionsuntersuchungen durchgeführt werden, um die Auswirkungen der Siderose zu beurteilen. Zum Beispiel Lungenfunktionstests oder Herzuntersuchungen.
Eine frühzeitige Diagnose von Siderose ist wichtig, um das Fortschreiten der Krankheit zu verlangsamen und mögliche Komplikationen zu vermeiden. Individuelle Screening-Möglichkeiten und häufige Kontrolluntersuchungen werden empfohlen, insbesondere für Personen mit einem erhöhten Risiko aufgrund von genetischen oder beruflichen Faktoren.
Die Forschung über Siderose konzentriert sich darauf, die zugrunde liegenden Mechanismen der Krankheit zu verstehen, um bessere Diagnoseverfahren und Behandlungsmöglichkeiten zu entwickeln. Fortschritte in der Bildgebungstechnologie und genetischen Forschung haben bereits dazu beigetragen, das Verständnis für die Krankheit zu verbessern. Zukünftige Forschungsarbeiten könnten neue therapeutische Ansätze und Präventionsstrategien liefern, um das Leben der Betroffenen zu verbessern und die Auswirkungen von Siderose zu minimieren.

Langzeitfolgen und Komplikationen von Siderose
Auswirkungen auf die Lunge, Leber und andere Organe
Die Langzeitfolgen von Siderose können je nach Schweregrad der Krankheit und dem betroffenen Organsystem variieren. Die Eisenablagerungen beeinträchtigen die normale Funktion der betroffenen Organe und können zu schwerwiegenden Komplikationen führen.
Eine der häufigsten Auswirkungen der Siderose betrifft die Lunge. Die Eisenpartikel, die sich in den Lungenbläschen ansammeln, können Entzündungen und Vernarbungen verursachen. Dies führt oft zu Atembeschwerden, wie Husten, Atemnot und einer eingeschränkten Lungenfunktion. In fortgeschrittenen Fällen kann dies zu ernsthaften Erkrankungen wie Lungenfibrose oder Atemversagen führen.
Auch die Leber ist häufig von Siderose betroffen. Das Eisen, das sich in der Leber ansammelt, kann zu einer Leberentzündung und -fibrose führen. Im Laufe der Zeit kann dies zu einer Leberzirrhose führen, einer schwerwiegenden Erkrankung, bei der das normale Lebergewebe durch Narbengewebe ersetzt wird. Die Leberfunktion wird dadurch stark beeinträchtigt, was zu Leberversagen und anderen Komplikationen führen kann.
Darüber hinaus kann sich Siderose auch auf andere Organe wie das Herz, die Bauchspeicheldrüse und die Gelenke auswirken. Eisenablagerungen im Herzen können zu einer verminderten Herzleistung und Herzrhythmusstörungen führen. Dies erhöht das Risiko für Herzinsuffizienz und Herzinfarkt. In der Bauchspeicheldrüse können Eisenablagerungen zu Diabetes führen, während Gelenkbeschwerden wie Schmerzen und Entzündungen auftreten können.
Mögliche Risiken und Gesundheitsprobleme
Langfristig kann Siderose zu schwerwiegenden gesundheitlichen Problemen führen, wenn sie nicht frühzeitig erkannt und behandelt wird. Die Eisenablagerungen können Organschäden verursachen und die Funktion wichtiger Körpersysteme beeinträchtigen. Dies kann zu lebensbedrohlichen Zuständen führen.
Ein weiteres Risiko von Siderose besteht in der Entwicklung von Krebs. Es wird angenommen, dass das Vorhandensein von Eisenablagerungen das Risiko bestimmter Krebsarten, wie Leberkrebs und Lungenkrebs, erhöht. Dies unterstreicht die Bedeutung der frühzeitigen Diagnose und Behandlung von Siderose.
Neben den physischen Auswirkungen kann Siderose auch psychische Belastungen verursachen. Die Symptome der Krankheit, wie Gedächtnisverlust, Konzentrationsstörungen und Muskelzuckungen, können die Lebensqualität der Betroffenen erheblich beeinträchtigen. Dies kann zu Depressionen, Angstzuständen und sozialer Isolation führen.
Es ist wichtig zu beachten, dass Siderose eine komplexe Erkrankung ist und die Langzeitfolgen und Komplikationen individuell unterschiedlich sein können. Langfristige Studien und Forschungsarbeiten sind erforderlich, um ein umfassendes Verständnis der Krankheit, ihrer Auswirkungen und effektiven Behandlungsmöglichkeiten zu entwickeln. Durch kontinuierliche Forschung hofft man, bessere Präventionsstrategien und Therapien zu entwickeln, um die Langzeitfolgen von Siderose zu minimieren und die Lebensqualität der Betroffenen zu verbessern.

Behandlungsmöglichkeiten bei Siderose
Medikamentöse Therapien und Maßnahmen
Die Behandlung von Siderose basiert auf der Verlangsamung des Fortschreitens der Krankheit und der Linderung der Symptome. Es gibt verschiedene medikamentöse Therapien und Maßnahmen, die zur Behandlung von Siderose eingesetzt werden können.
- Chelatbildung: Eine gängige Methode zur Behandlung von Siderose ist die Chelatbildung. Dabei werden Chelatbildner, wie Deferipron oder Deferasirox, verwendet, um das überschüssige Eisen im Körper zu binden und auszuscheiden. Dies hilft, die Eisenablagerungen zu reduzieren und das Fortschreiten der Krankheit zu verlangsamen.
- Eisenarme Ernährung: Eine weitere Maßnahme zur Behandlung von Siderose ist eine Ernährungsumstellung auf eine eisenarme Diät. Durch die Reduzierung der Eisenaufnahme kann das Risiko von Eisenablagerungen verringert werden. Es wird empfohlen, eisenreiche Lebensmittel wie rotes Fleisch, Hülsenfrüchte und grünes Blattgemüse zu vermeiden.
- Bluttransfusionen: In einigen Fällen kann eine regelmäßige Bluttransfusion erforderlich sein, um den Eisenüberschuss im Körper zu reduzieren. Durch die Entfernung von eisenreichem Blut und die Zufuhr von eisenarmem Blut wird das Risiko von Eisenablagerungen verringert.
- Symptomatische Behandlung: Zur Linderung der Symptome von Siderose können auch symptomatische Behandlungen eingesetzt werden. Dazu gehören die Verwendung von Bronchodilatatoren zur Verbesserung der Lungenfunktion, Schmerzmittel zur Linderung von Gelenkbeschwerden und Medikamente zur Unterstützung der Leberfunktion.
Präventive Maßnahmen und Lebensstiländerungen
Neben medikamentösen Therapien gibt es auch präventive Maßnahmen und Lebensstiländerungen, die helfen können, das Risiko von Siderose zu verringern oder das Fortschreiten der Krankheit zu verlangsamen.
- Regelmäßige ärztliche Kontrollen: Es ist wichtig, regelmäßige ärztliche Untersuchungen durchführen zu lassen, um Siderose frühzeitig zu erkennen und zu behandeln. Ihr Arzt kann verschiedene Tests wie Blutuntersuchungen und Bildgebungstechniken verwenden, um den Eisenstatus in Ihrem Körper zu überwachen.
- Vermeidung von Exposition gegenüber schädlichem Eisen: Um das Risiko von Siderose zu verringern, ist es ratsam, den Kontakt mit schädlichem Eisen zu minimieren. Dies kann den Verzicht auf den regelmäßigen Umgang mit eisenhaltigen Substanzen oder gefährlichen Arbeitsumgebungen, die eine Eisenexposition beinhalten, beinhalten.
- Gesunde Ernährung: Eine gesunde Ernährung kann ebenfalls dazu beitragen, das Risiko von Siderose zu verringern. Es wird empfohlen, eine ausgewogene Ernährung mit viel Obst, Gemüse und Vollkornprodukten zu sich zu nehmen und den Konsum von verarbeiteten Lebensmitteln und zuckerhaltigen Getränken einzuschränken.
- Regelmäßige körperliche Aktivität: Regelmäßige körperliche Aktivität kann dazu beitragen, die allgemeine Gesundheit zu verbessern und das Risiko von Siderose zu verringern. Durch regelmäßiges Training wird die Lungenfunktion verbessert und das Risiko von Komplikationen durch Siderose verringert.
Es ist wichtig zu beachten, dass die Behandlung und Prävention von Siderose individuell angepasst werden sollten. Sprechen Sie mit Ihrem Arzt über die besten Behandlungsmöglichkeiten und Lebensstiländerungen für Ihre spezifische Situation. Durch eine umfassende Behandlung und ein proaktives Management können die Langzeitfolgen von Siderose minimiert und die Lebensqualität der Betroffenen verbessert werden.

Fazit
Zusammenfassung der wichtigsten Ergebnisse und Erkenntnisse
In den letzten Jahren hat die Forschung über Siderose wichtige Ergebnisse und Erkenntnisse geliefert. Eine der Haupterkenntnisse ist, dass die Chelatbildung mit Deferipron oder Deferasirox eine effektive Methode zur Behandlung von Siderose ist. Durch die Bindung und Ausscheidung von überschüssigem Eisen im Körper kann das Fortschreiten der Krankheit verlangsamt werden.
Darüber hinaus hat die Forschung gezeigt, dass eine eisenarme Ernährung einen positiven Einfluss auf die Reduzierung des Risikos von Eisenablagerungen bei Siderose haben kann. Die Vermeidung von eisenreichen Lebensmitteln wie rotem Fleisch, Hülsenfrüchten und grünem Blattgemüse kann dazu beitragen, den Krankheitsverlauf zu verlangsamen.
Die regelmäßige ärztliche Kontrolle ist auch ein wichtiger Bestandteil der Behandlung von Siderose. Durch Blutuntersuchungen und Bildgebungstechniken kann der Eisenstatus im Körper überwacht werden, um frühzeitig Anzeichen von Eisenablagerungen zu erkennen.
Im Hinblick auf zukünftige Forschungsthemen und -möglichkeiten besteht weiterer Bedarf an Untersuchungen zur Langzeitwirkung der medikamentösen Therapien bei Siderose. Es ist wichtig, die Nebenwirkungen und langfristigen Auswirkungen der Chelatbildung auf den Körper zu verstehen und zu minimieren.
Darüber hinaus könnte die Erforschung neuer medikamentöser Therapien zur Behandlung von Siderose ein vielversprechendes Forschungsfeld sein. Die Entwicklung von Medikamenten, die spezifisch auf die Hemmung der Eisenablagerungen abzielen, könnte den Behandlungsmöglichkeiten für Siderose eine neue Dimension eröffnen.
Ein weiteres wichtiges Thema für zukünftige Forschung ist die Vorbeugung von Siderose durch Lebensstiländerungen. Untersuchungen zur Auswirkung einer gesunden Ernährung und regelmäßigen körperlichen Aktivität auf das Risiko von Eisenablagerungen könnten dazu beitragen, präventive Maßnahmen zu entwickeln.
Insgesamt hat die Forschung über Siderose ein besseres Verständnis dieser Krankheit gebracht und hat zu effektiven Behandlungsmethoden geführt. Durch eine kontinuierliche Forschung und Weiterentwicklung können die Behandlungsmöglichkeiten weiter verbessert werden, um die Lebensqualität der Betroffenen zu erhöhen.
Ausblick auf zukünftige Forschungsthemen und -möglichkeiten
In Zukunft gibt es vielversprechende Forschungsthemen und -möglichkeiten, um das Wissen über Siderose zu vertiefen und die Behandlungsmöglichkeiten weiter zu verbessern. Ein Bereich, der weiterhin erforscht werden könnte, ist die genetische Prädisposition für Siderose. Durch die Identifizierung von genetischen Faktoren, die das Risiko von Siderose erhöhen, könnten präventive Maßnahmen entwickelt werden, um das Auftreten der Krankheit zu reduzieren.
Darüber hinaus könnte die Erforschung neuer Bildgebungstechniken zur Früherkennung von Eisenablagerungen bei Siderose von großem Nutzen sein. Durch die Entwicklung von empfindlicheren und spezifischeren Tests könnten Ärzte die Krankheit in einem frühen Stadium erkennen und geeignete Behandlungsmaßnahmen ergreifen.
Die Entwicklung von Medikamenten, die sich gezielt auf den Mechanismus der Eisenablagerungen konzentrieren, ist ein weiteres vielversprechendes Forschungsthema. Durch die Identifizierung von Wirkstoffen, die die Bildung und Ablagerung von überschüssigem Eisen im Körper hemmen, könnten neue Therapieoptionen für Siderose entwickelt werden.
Schließlich ist die Verbesserung der Lebensqualität von Siderose-Patienten ein wichtiges Anliegen für zukünftige Forschung. Die Untersuchung von unterstützenden Behandlungen, wie physiotherapeutischen Maßnahmen zur Erhaltung der Muskelfunktion oder psycho-sozialer Unterstützung, könnte dazu beitragen, die Lebensqualität der Betroffenen zu verbessern.
Insgesamt bietet die zukünftige Forschung über Siderose aufregende Möglichkeiten, das Verständnis dieser Krankheit zu erweitern und die Behandlungsmöglichkeiten weiter zu verbessern. Durch eine kontinuierliche Zusammenarbeit zwischen Wissenschaftlern, Ärzten und Patienten können wir hoffen, dass in Zukunft effektivere Therapien entwickelt werden, um den Fortschritt von Siderose zu verlangsamen und die Lebensqualität der Betroffenen zu verbessern.











