
Was ist Hirnatrophie?
Hirnatrophie, auch bekannt als Gehirnschwund, bezieht sich auf den Verlust von Gehirngewebe und die damit einhergehende Verkleinerung des Gehirnvolumens. Dieser Prozess kann aufgrund verschiedener Faktoren auftreten und betrifft in der Regel ältere Menschen, obwohl er in einigen Fällen auch bei jüngeren Menschen auftreten kann.
Hirnatrophie kann verschiedene Bereiche des Gehirns betreffen, einschließlich des Hippocampus, der für das Gedächtnis und das Lernen wichtig ist, sowie der Großhirnrinde, die für komplexe Funktionen wie Denken, Planen und Entscheiden verantwortlich ist. Der Schwund von Gehirngewebe führt zu einer Beeinträchtigung dieser Funktionen und kann zu kognitiven Beeinträchtigungen und neurologischen Störungen führen.
Ursachen und Symptome der Hirnatrophie
Die Ursachen für Hirnatrophie können vielfältig sein. Einige der häufigsten Gründe sind:
- Alterung: Mit zunehmendem Alter nimmt das Gehirnvolumen natürlicherweise ab. Dieser altersbedingte Schwund des Gehirns ist jedoch normal und variiert von Person zu Person.
- Neurodegenerative Erkrankungen: Krankheiten wie Alzheimer, Parkinson und Huntington können zu Hirnatrophie führen. Diese Krankheiten verursachen progressive Schäden an Gehirnzellen und Gewebe, was letztendlich zu einem Schwund des Gehirnvolumens führt.
- Vaskuläre Erkrankungen: Schlaganfälle, Durchblutungsstörungen und andere vaskuläre Probleme können dazu führen, dass bestimmte Bereiche des Gehirns nicht ausreichend mit Sauerstoff und Nährstoffen versorgt werden. Dies kann zu einer Schrumpfung des betroffenen Gewebes führen.
Die Symptome von Hirnatrophie können je nach betroffenem Bereich des Gehirns variieren. Einige häufige Symptome sind jedoch:
- Gedächtnisverlust und Verwirrung
- Probleme mit dem Denken und der Konzentration
- Veränderungen im Verhalten und in der Persönlichkeit
- Koordinations- und Gleichgewichtsstörungen
- Sprach- und Sprachstörungen
- Schwierigkeiten bei alltäglichen Aktivitäten
Es ist wichtig anzumerken, dass Hirnatrophie nicht bei jedem Menschen zu Symptomen führt. Einige Menschen können eine gewisse Menge an Gehirngewebe verlieren, ohne dass dies einen spürbaren Einfluss auf ihre kognitiven oder neurologischen Fähigkeiten hat.
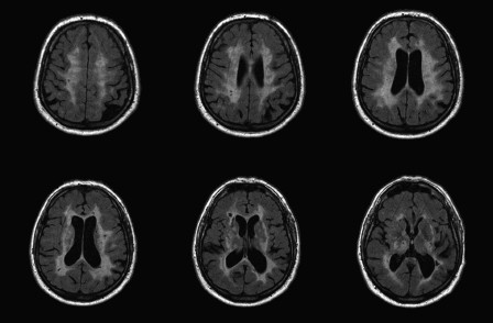
Um Hirnatrophie zu diagnostizieren, können verschiedene bildgebende Verfahren wie Magnetresonanztomographie (MRT) oder Computertomographie (CT) verwendet werden. Diese Techniken ermöglichen es Ärzten, das Gehirnvolumen zu messen und Veränderungen im Laufe der Zeit zu beobachten.
Die Behandlung von Hirnatrophie konzentriert sich in der Regel auf die Bekämpfung der zugrunde liegenden Ursachen. In einigen Fällen können Medikamente zur Symptomlinderung und zur Verlangsamung des Fortschreitens bestimmter Krankheiten eingesetzt werden.
Es ist wichtig, dass Personen, bei denen Hirnatrophie diagnostiziert wurde, eine umfassende Betreuung erhalten, einschließlich kognitiver Therapie, Unterstützung bei alltäglichen Aktivitäten und Beratung für deren Angehörige. Die Unterstützung durch ein multidisziplinäres Team aus Ärzten, Therapeuten und Betreuern ist entscheidend, um den bestmöglichen Umgang mit den Auswirkungen der Hirnatrophie zu gewährle

Arten von Hirnatrophie
Primäre und sekundäre Hirnatrophie
Es gibt verschiedene Arten von Hirnatrophie, von denen primäre und sekundäre Hirnatrophie die häufigsten sind.
Die primäre Hirnatrophie bezieht sich auf den altersbedingten Schwund des Gehirns, der allmählich im Laufe der Zeit auftritt. Mit zunehmendem Alter nimmt das Gehirnvolumen normalerweise ab, und dies kann zu einer Beeinträchtigung der kognitiven Funktionen führen. Es ist wichtig anzumerken, dass dieser altersbedingte Gehirnrückgang bei jedem Menschen unterschiedlich ist und nicht immer zu spürbaren Symptomen führt.
Die sekundäre Hirnatrophie hingegen tritt aufgrund spezifischer Ursachen auf. Diese können neurodegenerative Erkrankungen wie Alzheimer, Parkinson und Huntington sein. Diese Krankheiten verursachen progressive Schäden an den Gehirnzellen und Geweben, was letztendlich zu einem Schwund des Gehirnvolumens führt. Vaskuläre Erkrankungen wie Schlaganfälle, Durchblutungsstörungen und andere vaskuläre Probleme können auch zu sekundärer Atrophie führen, da sie dazu führen, dass das betroffene Gehirngewebe nicht ausreichend mit Sauerstoff und Nährstoffen versorgt wird.
Diffuse und fokale Hirnatrophie
Eine weitere Unterscheidung kann zwischen diffuser und fokaler Hirnatrophie gemacht werden.
Die diffuse Hirnatrophie betrifft das gesamte Gehirn und führt zu einem allgemeinen Rückgang des Gehirnvolumens. Dies kann zu einer Beeinträchtigung verschiedener Funktionen wie Gedächtnis, Denken und Motorik führen. Ein Beispiel für eine Krankheit, die zu diffuser Hirnatrophie führen kann, ist die Alzheimer-Krankheit.
Die fokale Hirnatrophie hingegen betrifft nur bestimmte Bereiche des Gehirns. Dies kann aufgrund von Verletzungen, Tumoren oder anderen Erkrankungen auftreten. Der Schwund von Gehirngewebe in einem bestimmten Bereich kann spezifische neurologische Beeinträchtigungen verursachen, abhängig von der Funktion dieses Bereichs. Ein Beispiel für eine Krankheit, die zu fokaler Hirnatrophie führen kann, ist der Schlaganfall.
Symptome und Behandlung
Die Symptome der Hirnatrophie können je nach betroffenem Bereich des Gehirns variieren. Dazu gehören Gedächtnisverlust, Verwirrung, Probleme mit dem Denken und der Konzentration, Veränderungen im Verhalten und in der Persönlichkeit, Koordinations- und Gleichgewichtsstörungen, Sprach- und Sprachprobleme sowie Schwierigkeiten bei alltäglichen Aktivitäten. Es ist wichtig anzumerken, dass nicht jeder Mensch mit Hirnatrophie Symptome entwickelt. Einige Menschen können einen gewissen Grad an Gehirngewebeverlust haben, ohne dass dies Auswirkungen auf ihre kognitiven oder neurologischen Fähigkeiten hat.
Die Behandlung von Hirnatrophie konzentriert sich in der Regel auf die Bekämpfung der zugrunde liegenden Ursachen. Wenn die Atrophie auf eine neurodegenerative Erkrankung wie Alzheimer zurückzuführen ist, können Medikamente zur Symptomlinderung und zur Verlangsamung des Fortschreitens eingesetzt werden. Bei vaskulären Ursachen können Maßnahmen ergriffen werden, um die Durchblutung zu verbessern und das betroffene Gehirngewebe mit ausreichend Sauerstoff und Nährstoffen zu versorgen.
Es ist wichtig, dass Personen, bei denen Hirnatrophie diagnostiziert wurde, eine umfassende Betreuung erhalten. Dies kann kognitive Therapie, Unterstützung bei alltäglichen Aktivitäten und Beratung für ihre Angehörigen umfassen. Die Unterstützung durch ein multidisziplinäres Team aus Ärzten, Therapeuten und Betreuern ist entscheidend, um den bestmöglichen Umgang mit den Auswirkungen der Hirnatrophie zu gewährleisten.
Zusammenfassung
Es gibt verschiedene Arten von Hirnatrophie, einschließlich primärer und sekundärer Hirnatrophie sowie diffuser und fokaler Hirnatrophie. Diese Zustände können zu verschiedenen neurologischen Beeinträchtigungen führen, abhängig vom betroffenen Bereich des Gehirns. Die Behandlung zielt darauf ab, die zugrunde liegenden Ursachen anzugehen und die Symptome zu lindern. Eine umfassende Betreuung ist wichtig, um den Betroffenen und ihren Angehörigen bestmögliche Unter

Diagnostische Verfahren und therapeutische Ansätze
Die Einfache Hirnatrophie ist eine Art von primärer Hirnatrophie, die im Gegensatz zur sekundären Hirnatrophie auf altersbedingte Veränderungen des Gehirns zurückzuführen ist. Diese Form der Hirnatrophie betrifft vor allem ältere Menschen und tritt allmählich im Laufe der Zeit auf. Obwohl die Einfache Hirnatrophie oft als normaler Teil des Alterns angesehen wird, können bestimmte Symptome auftreten, die das tägliche Leben beeinträchtigen und eine Diagnose und Behandlung erforderlich machen.
Diagnose der Einfachen Hirnatrophie
Die Diagnose der Einfachen Hirnatrophie basiert in der Regel auf einer Kombination von Bewertungen, Tests und Bildgebungsverfahren. Der behandelnde Arzt wird zunächst eine ausführliche Anamnese durchführen, um die Symptome des Patienten zu erfassen und mögliche Risikofaktoren zu ermitteln. Anschließend können verschiedene kognitive Tests eingesetzt werden, um die geistige Leistungsfähigkeit des Patienten zu bewerten. Diese Tests umfassen oft Gedächtnistests, Problemlösungsaufgaben und Aufmerksamkeitstests.
Zur weiteren Bewertung des Gehirns kann eine Bildgebung wie eine Magnetresonanztomographie (MRT) oder eine Computertomographie (CT) durchgeführt werden. Diese Verfahren ermöglichen es, Veränderungen im Gehirnvolumen sowie strukturelle Abweichungen festzustellen. Aufgrund ihrer nicht-invasiven Natur sind MRT und CT weit verbreitete Diagnoseverfahren für die Einfache Hirnatrophie.
Behandlung der Einfachen Hirnatrophie
Da die Einfache Hirnatrophie als normaler Teil des Alterns angesehen wird, gibt es keine spezifische Heilung oder Behandlung, die den Prozess der Hirnatrophie umkehren kann. Stattdessen konzentriert sich die Behandlung darauf, die Symptome zu lindern und das tägliche Leben des Patienten zu verbessern.
Eine wichtige Komponente der Behandlung ist die Anpassung des Lebensstils. Durch eine gesunde Ernährung, regelmäßige körperliche Bewegung und ausreichend Schlaf kann der allgemeine Gesundheitszustand verbessert und das Risiko von weiteren Komplikationen verringert werden. Einige Studien haben auch gezeigt, dass kognitive Aktivitäten wie Rätsel lösen oder Lesen das Gehirn stimulieren und den Abbau verzögern können.
Da die Einfache Hirnatrophie oft zu kognitiven Beeinträchtigungen führt, können kognitive Therapien ein wichtiger Bestandteil der Behandlung sein. Diese Therapien zielen darauf ab, die geistige Leistungsfähigkeit zu verbessern und den Umgang mit den Auswirkungen der Hirnatrophie zu erleichtern. Dies kann beispielsweise das Training von Gedächtnis- und Konzentrationstechniken, die Entwicklung von Strategien zur Verbesserung des Denkvermögens oder die Unterstützung bei der Bewältigung von Gedächtnisverlust umfassen.
Zusätzlich zur Lifestyle-Anpassung und kognitiven Therapie können Medikamente eingesetzt werden, um die Symptome der Einfachen Hirnatrophie zu lindern. Oft werden Medikamente eingesetzt, um eine zugrunde liegende Erkrankung wie Depressionen oder Schlafstörungen zu behandeln. Diese Medikamente können helfen, die Lebensqualität des Patienten zu verbessern und mögliche Komplikationen zu reduzieren.
In einigen Fällen kann auch eine Unterstützung durch externe Betreuer oder Pflegekräfte erforderlich sein, um den Patienten im täglichen Leben zu unterstützen. Dies kann Hilfe bei Alltagsaufgaben, Erinnerungshilfen oder emotionale Unterstützung umfassen. Ein solches Netzwerk von Unterstützern kann den Patienten dabei unterstützen, die bestmögliche Lebensqualität trotz der Auswirkungen der Einfachen Hirnatrophie aufrechtzuerhalten.
Zusammenfassung
Die Einfache Hirnatrophie ist eine Art von primärer Hirnatrophie, die mit dem normalen Alterungsprozess in Verbindung gebracht wird. Die Diagnose erfolgt durch kognitive Tests und bildgebende Verfahren wie MRT oder CT. Obwohl es keine spezifische Heilung gibt, konzentriert sich die Behandlung darauf, die Symptome zu lindern und das tägliche Leben zu verbessern. Dazu gehören eine Anpassung des Lebensstils, kognitive Therapie, Medikamente und Unterstützung durch Betreuer oder Pflegekräfte. Die frühzeitige Diagnose und eine umfassende Behandlung tragen dazu bei, dass Patienten mit Einfacher Hirnatrophie eine bestmögliche Lebensqualität erre

Auswirkungen der Hirnatrophie
Kognitive Beeinträchtigungen und funktionelle Einschränkungen
Die Einfache Hirnatrophie ist eine Art von primärer Hirnatrophie, die im Gegensatz zur sekundären Hirnatrophie auf altersbedingte Veränderungen des Gehirns zurückzuführen ist. Diese Form der Hirnatrophie betrifft vor allem ältere Menschen und tritt allmählich im Laufe der Zeit auf. Obwohl die Einfache Hirnatrophie oft als normaler Teil des Alterns angesehen wird, können bestimmte Symptome auftreten, die das tägliche Leben beeinträchtigen und eine Diagnose und Behandlung erforderlich machen.
Eine der Hauptauswirkungen der Einfachen Hirnatrophie sind kognitive Beeinträchtigungen. Der Verlust von Gehirnmassen führt zu Schwierigkeiten bei der Verarbeitung von Informationen und dem Abrufen von Erinnerungen. Betroffene können Schwierigkeiten haben, sich an frühere Ereignisse zu erinnern oder neue Informationen zu behalten. Sie können auch Probleme haben, sich auf komplexe Aufgaben zu konzentrieren oder logische Zusammenhänge zu erkennen. Diese kognitiven Beeinträchtigungen können die alltäglichen Aktivitäten erschweren, wie zum Beispiel das Planen von Mahlzeiten, das Verstehen von Anweisungen oder das Ausüben bestimmter Berufe.
Neben den kognitiven Beeinträchtigungen können auch funktionelle Einschränkungen auftreten. Die Hirnatrophie beeinflusst die Funktionsweise verschiedener Hirnregionen, was zu motorischen Schwierigkeiten führen kann. Betroffene können Schwierigkeiten haben, ihre Bewegungen zu koordinieren, Gleichgewichtsprobleme haben oder an Muskelsteifheit leiden. Diese funktionalen Einschränkungen können die Mobilität und Selbstständigkeit der Betroffenen beeinträchtigen und zu einem verminderten Lebensqualität führen.
Auswirkungen auf die Persönlichkeit und psychische Gesundheit
Die Einfache Hirnatrophie kann auch Auswirkungen auf die Persönlichkeit und psychische Gesundheit haben. Durch die Veränderungen im Gehirn können sich Verhaltensweisen, Emotionen und Stimmungen verändern. Betroffene können zunehmend reizbar, ängstlich oder depressiv sein. Sie können Schwierigkeiten haben, ihre Emotionen zu kontrollieren oder zwischenmenschliche Beziehungen aufrechtzuerhalten. Diese Veränderungen können dazu führen, dass sich Betroffene isoliert und unverstanden fühlen, was ihre psychische Gesundheit zusätzlich belastet.
Diagnostische Verfahren und therapeutische Ansätze
Die Diagnose der Einfachen Hirnatrophie basiert in der Regel auf einer Kombination von Bewertungen, Tests und bildgebenden Verfahren. Der behandelnde Arzt wird zunächst eine ausführliche Anamnese durchführen, um die Symptome des Patienten zu erfassen und mögliche Risikofaktoren zu ermitteln. Anschließend können verschiedene kognitive Tests eingesetzt werden, um die geistige Leistungsfähigkeit des Patienten zu bewerten. Diese Tests umfassen oft Gedächtnistests, Problemlösungsaufgaben und Aufmerksamkeitstests.
Zur weiteren Bewertung des Gehirns kann eine Bildgebung wie eine Magnetresonanztomographie (MRT) oder eine Computertomographie (CT) durchgeführt werden. Diese Verfahren ermöglichen es, Veränderungen im Gehirnvolumen sowie strukturelle Abweichungen festzustellen. Aufgrund ihrer nicht-invasiven Natur sind MRT und CT weit verbreitete Diagnoseverfahren für die Einfache Hirnatrophie.
Da die Einfache Hirnatrophie als normaler Teil des Alterns angesehen wird, gibt es keine spezifische Heilung oder Behandlung, die den Prozess der Hirnatrophie umkehren kann. Stattdessen konzentriert sich die Behandlung darauf, die Symptome zu lindern und das tägliche Leben des Patienten zu verbessern.
Eine wichtige Komponente der Behandlung ist die Anpassung des Lebensstils. Durch eine gesunde Ernährung, regelmäßige körperliche Bewegung und ausreichend Schlaf kann der allgemeine Gesundheitszustand verbessert und das Risiko von weiteren Komplikationen verringert werden. Einige Studien haben auch gezeigt, dass kognitive Aktivitäten wie Rätsel lösen oder Lesen das Gehirn stimulieren und den Abbau verzögern können.
Da die Einfache Hirnatrophie oft zu kognitiven Beeinträchtigungen führt, können kognitive Therapien ein wichtiger Bestandteil der Behandlung sein. Diese Therapien zielen darauf ab, die geistige Leistungsfähigkeit zu verbessern und den Umgang mit den Auswirkungen der Hirnatrophie zu erleichtern. Dies kann beispielsweise das Training von Gedächtnis- und Konzentrationstechniken, die Entwicklung von Strategien zur Verbesserung des Denkvermögens oder die Unterstützung bei der Bewältigung von Gedächtnisverlust umfassen.
Zusätzlich zur Lifestyle-Anpassung und kognitiven Therapie können Medikamente eingesetzt werden, um die Symptome der Einfachen Hirnatrophie zu lindern. Oft werden Medikamente eingesetzt, um eine zugrunde liegende Erkrankung wie Depressionen oder Schlafstörungen zu behandeln. Diese Medikamente können helfen, die Lebensqualität des Patienten zu verbessern und mögliche Komplikationen zu reduzieren.
In einigen Fällen kann auch eine Unterstützung durch externe Betreuer oder Pflegekräfte erforderlich sein, um den Patienten im täglichen Leben zu unterstützen. Dies kann Hilfe bei Alltagsaufgaben, Erinnerungshilfen oder emotionale Unterstützung umfassen. Ein solches Netzwerk von Unterstützern kann den Patienten dabei unterstützen, die bestmögliche Lebensqualität trotz der Auswirkungen der Einfachen Hirnatrophie aufrechtzuerhalten.
Zusammenfassend kann gesagt werden, dass die Einfache Hirnatrophie Auswirkungen auf verschiedene Bereiche des Lebens haben kann. Neben kognitiven Beeinträchtigungen und funktionellen Einschränkungen kann sie auch die Persönlichkeit und psychische Gesundheit beeinflussen. Eine frühzeitige Diagnose und eine umfassende Behandlung sind entscheidend, um die bestmögliche Lebensqualität für Menschen mit Einfacher Hirnatrophie zu gew











